Rebuilding stability and confidence with all-on-6

MACEDONIA 🇲🇰

This patient came to our clinic with a severe problem in his upper jaw. He had bridges and crowns made 20 years ago, but the construction was failing and all the teeth were moving. 

After a detailed analysis a therapy plan was provided. All the teeth needed to be removed and the solution was an all-on-6 treatment with dental implants. 

With a digital workflow we created a surgical guide, extracted all the teeth and immediately placed the dental implants using the surgical guide. The patient was provided with temporary teeth the next day.

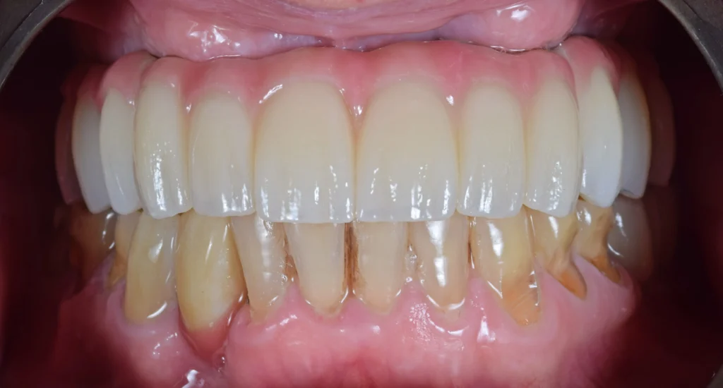
After 5 months of healing the implants were integrated in the bone and we provided the patient with his final teeth. A hybrid construction with titanium and zirconia was made. A functional, healthy and natural smile was achieved. 

This kind of cases show us that using digital workflows in implant therapy makes our job more predictable and our life easier.Â