Life-changing makeover

MACEDONIA 🇲🇰

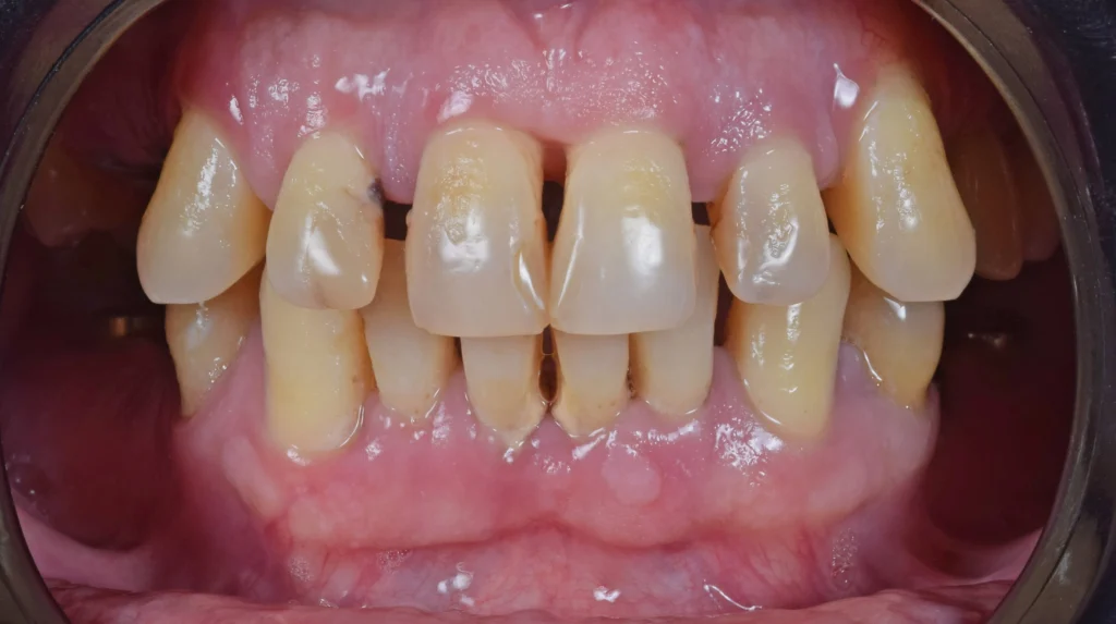
This patient came to our clinic with severe periodontitis and an extreme fear of dental procedures, a combination that had significantly impacted both his oral health and quality of life. Years of discomfort, uncertainty, and anxiety made even the thought of treatment overwhelming.

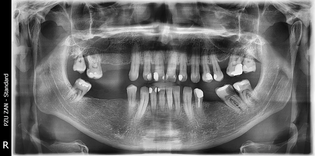
After a thorough clinical examination and detailed 3D imaging, we developed a carefully structured treatment plan that combined dental implants with the preservation of his natural teeth wherever possible. Our goal was not only to restore function and aesthetics, but also to ensure a comfortable and stress-free experience for the patient.

Using advanced computer-aided surgical guides, we precisely placed six dental implants. At the same time, we extracted the teeth that could not be saved and immediately provided the patient with temporary teeth, allowing him to maintain function and appearance throughout the healing process.

Following a healing period of six months, during which full integration of the implants occurred, the patient returned for the final phase. We performed new intraoral scans and detailed analysis to ensure perfect accuracy and fit.

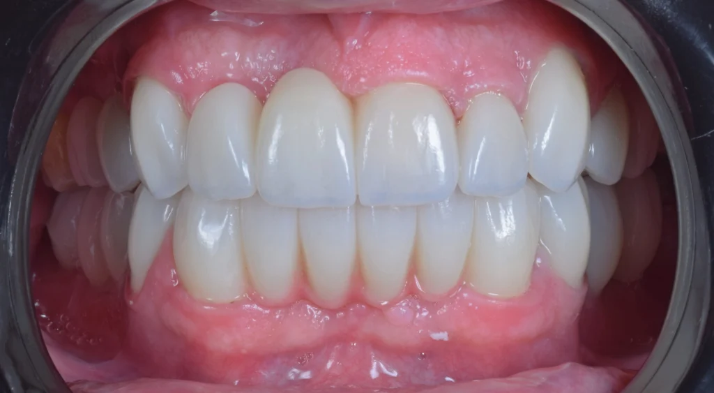
The final result was achieved using high-quality monolithic zirconia restorations—delivering a strong, natural-looking, and long-lasting smile.

The transformation speaks for itself. Today, the patient is shining, happy, and full of confidence. His fear has been replaced with trust, and his smile reflects a completely new chapter in his life.

Cases like this are what truly inspire us and remind us why we do what we do.