Life-changing makeover

MACEDONIA 🇲🇰

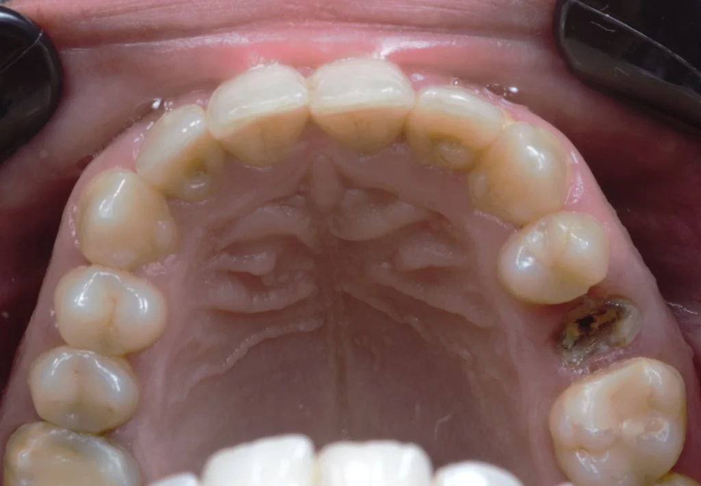
This patient came to our office with a broken upper second premolar that could no longer be saved. The damage was extensive, and the tooth had no long-term prognosis, making extraction the only viable option.

After a thorough clinical evaluation, we determined that a dental implant would be the best solution to restore both function and aesthetics. The goal was to achieve a natural-looking result while preserving the surrounding bone and tissues.

We began with detailed CBCT 3D imaging and careful digital planning. This allowed us to map out the exact position, angle, and depth of the implant before the procedure even began.

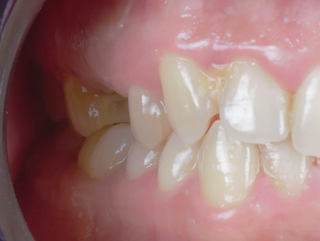
Using a computer-aided surgical guide, we performed a precise extraction and immediately placed the implant in the ideal position. Right after the intervention, the patient was provided with a temporary tooth, maintaining both appearance and comfort during the healing phase.

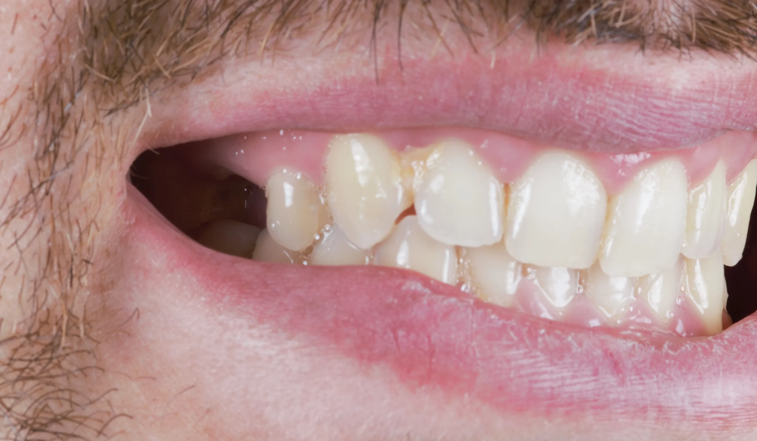
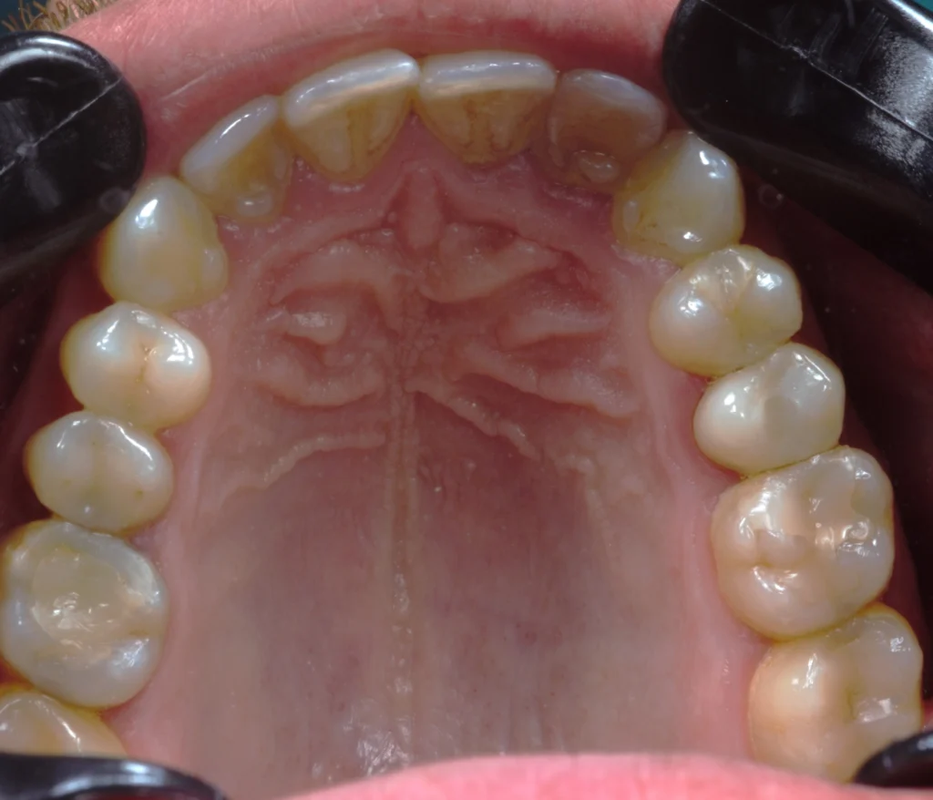
After a healing period of six months, the implant achieved excellent osseointegration. At this stage, we proceeded with the final restoration phase, ensuring everything was perfectly stable and ready.

We delivered a high-quality, screw-retained zirconia crown that blends seamlessly with the natural teeth. The result is a subtle yet powerful transformation—a small change that made a big difference in the patient’s smile and confidence.Â