New smile, new life with confidence

MACEDONIA 🇲🇰

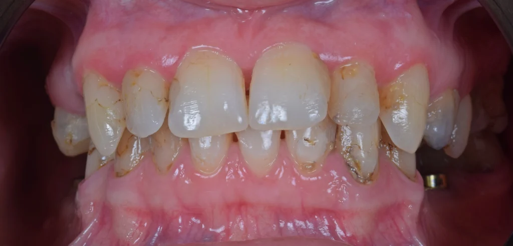
This lovely patient came to our clinic with several missing teeth and a misaligned bite, which significantly affected both her oral health and self-confidence. Everyday activities such as eating and smiling had become a challenge, impacting her overall quality of life.

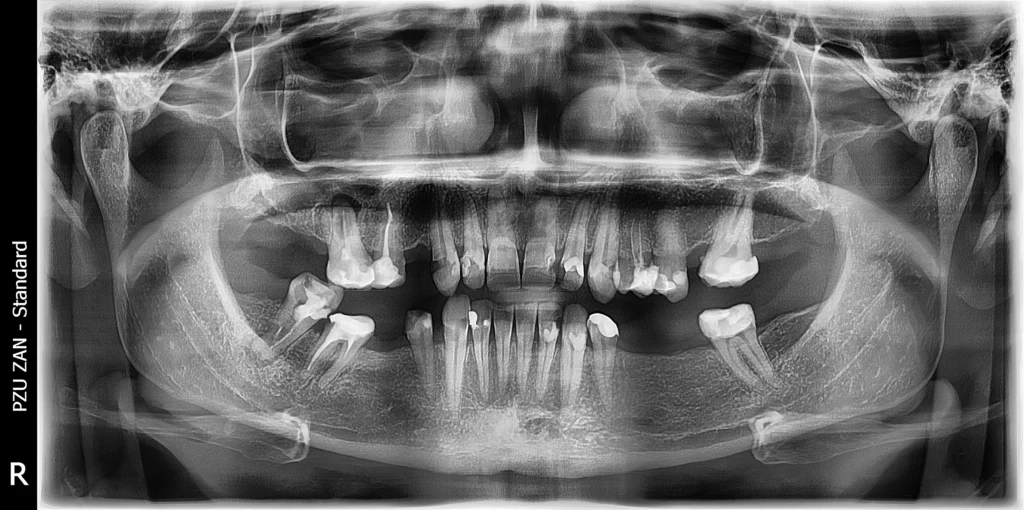
After a thorough clinical examination and advanced 3D CBCT imaging, we carefully analyzed her condition and created a fully personalized treatment plan. 

The solution included a combination of dental implants, crowns, and bridges—designed to restore both function and aesthetics in the most natural way possible.

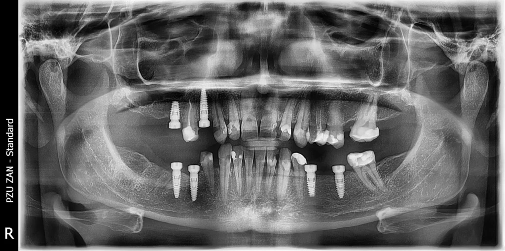
In the first phase, we placed six dental implants using computer-aided surgical guides. This technology allowed us to achieve exceptional precision, ensuring optimal positioning, stability, and long-term success of each implant.

Following a healing period of 4 months, during which complete osseointegration occurred, we moved to the next stage. The patient was fitted with a prototype “try-on” smile, giving her the opportunity to preview the final result and ensure complete satisfaction with the shape, size, and appearance.

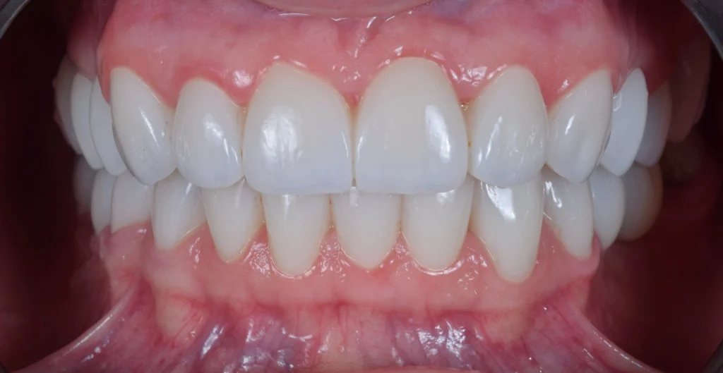
After a short additional healing period of 2 weeks, we delivered the final restorations—high-quality zirconia crowns and bridges. The result is a natural-looking, durable, and radiant smile that perfectly complements her facial features.

Today, she feels more confident than ever before. She can smile, speak, and eat freely again—and most importantly, she is proud to show her new, healthy, and beautiful Hollywood smile.Â