Rebuilding confidence: A full-mouth digital transformation

SPAIN 🇪🇸

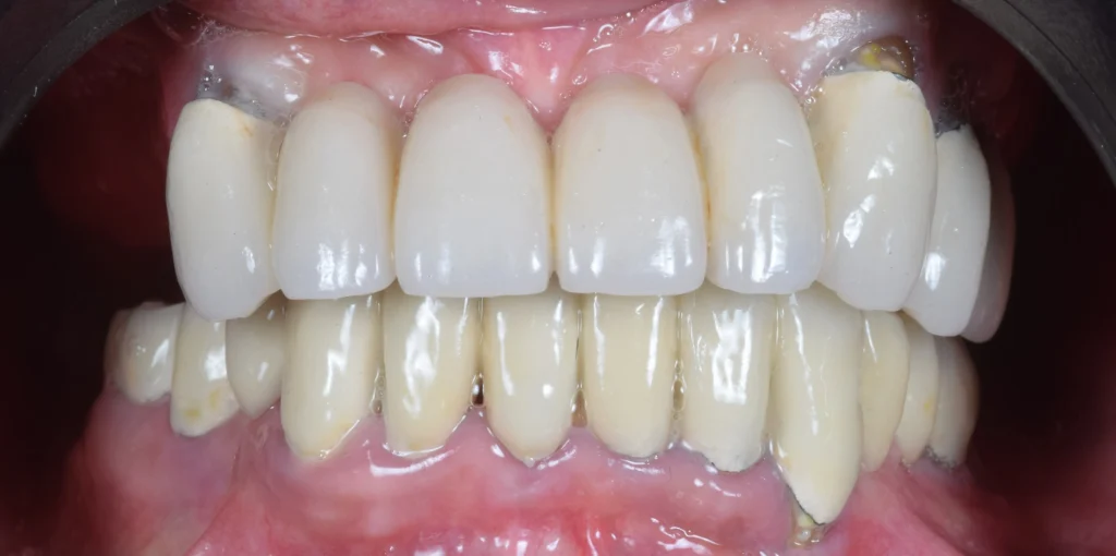
This lovely patient came to our clinic from Malaga, Spain, with failing bridges supported by her teeth. 

After the examination and all the analysis, the therapy plan consisted of a full mouth reconstruction with dental implants.  All the teeth were removed and the implants were placed immediately. The patient was provided with temporary teeth during the healing period.

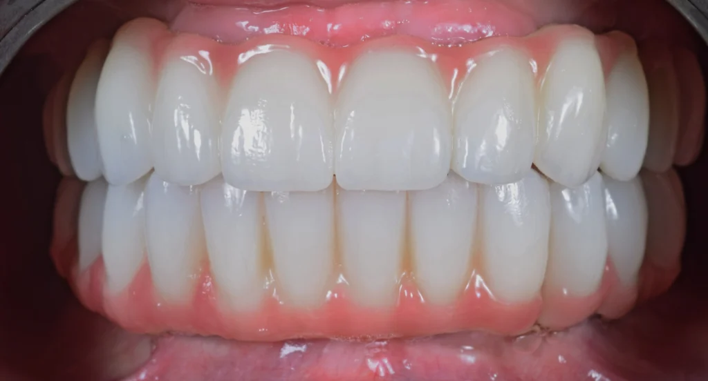
After 6 months of osseointegration of the dental implants, we provided a new beautiful smile with a hybrid construction, zirconia on a titanium bar. 

The vertical dimension of the occlusion was raised, so not only did we get a new smile, but the results showed up on the patient’s skin, achieving a younger and more fresh look. 

The digital workflow allowed us to achieve this beautifull result. We strive to use all the available tools to achieve predictable results like this.