Rebuilding stability and confidence with all-on-6

BULGARIA 🇧🇬

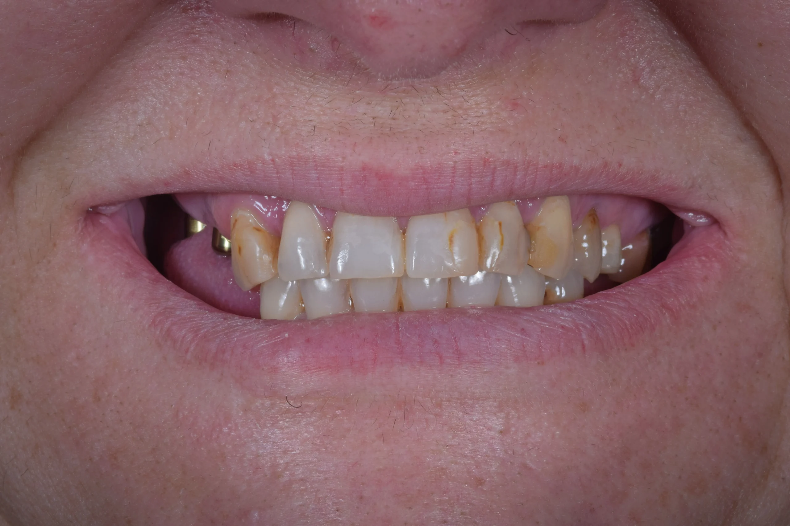
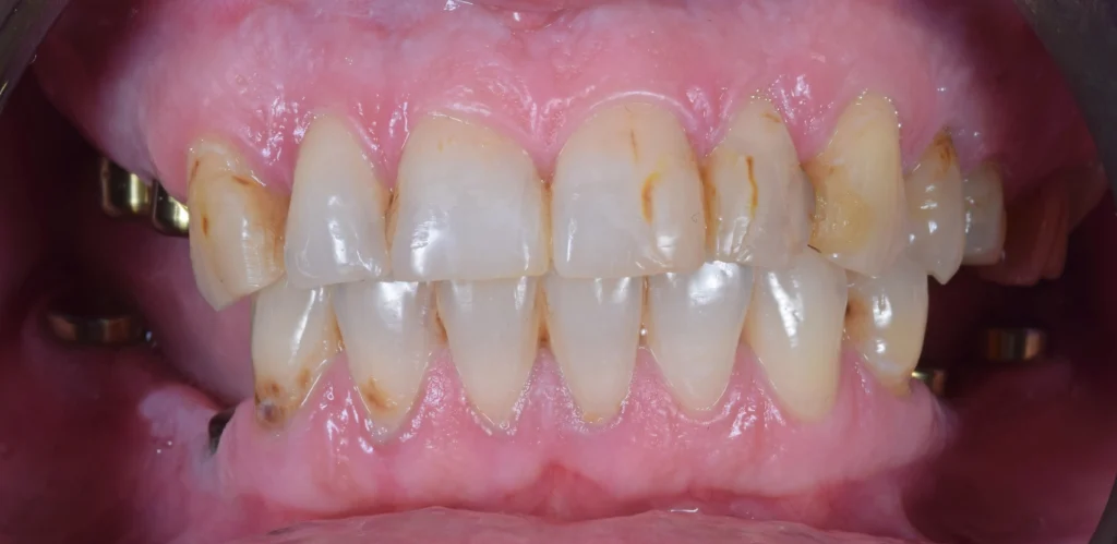
This patient came to our clinic from Bulgaria. She had a severe fear of dentists, multiple lost teeth in both jaws and an uneven bite because of that.

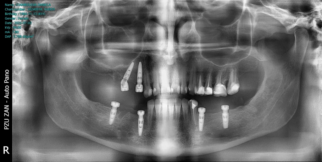
After the examination and the analysis, the therapy plan was full mouth reconstruction with dental implants and zirconia crowns and bridges. The remaining roots were extracted and six dental implants were placed using a surgical guide and digital workflow.

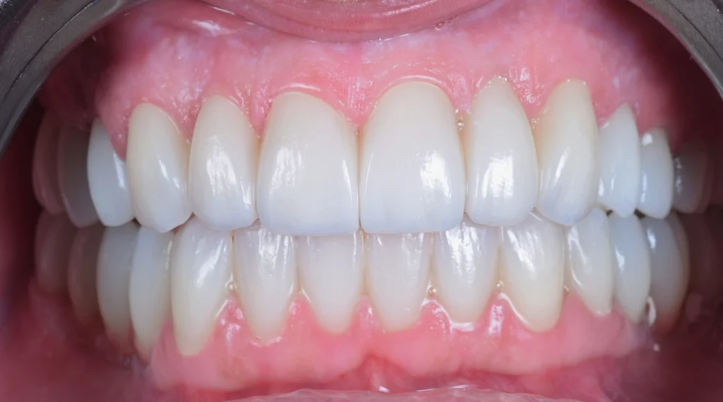
After the healing period of 6 months, the teeth were prepared and a prototype smile with provisional teeth was placed. After the analysis of the prototype smile, we made all the changes need to provide this patient with this new beautiful smile with zirconia crowns and bridges over the dental implants. 

All of this was made with a digital workflow.

The patient left our clinic smiling and very happy for her new smile. This life changing cases is what we work for, it is what we live for.Â